ウォーキングブリーチと矯正により審美的な改善を行った症例
患者様情報
20代男性
患者様のお悩み
すきっ歯と左上前歯の色が気になる
治療概要
根管治療、インビザライン、ホワイトニング
提案内容
左上前歯は歯髄電気診で神経の反応がなかったため、根管治療をしてからウォーキングブリーチをすることをすすめました。
また、すきっ歯についてはマウスピース矯正でなおしていくことをすすめました。
治療内容
まずは左上前歯の根幹治療を行い、根管治療が終了した後に、マウスピース矯正をすすめながら左上前歯のウォーキングブリーチをすすめていきました。
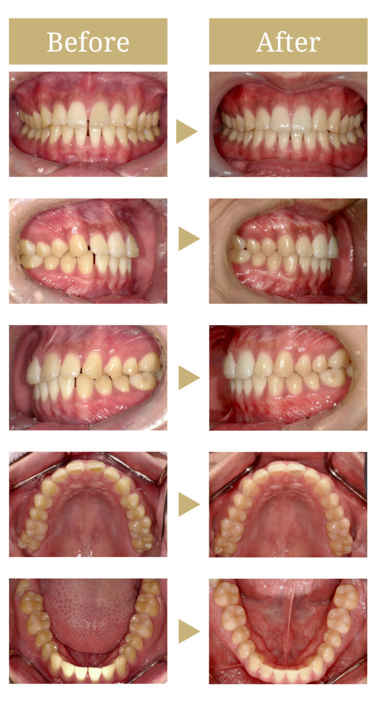
治療前の状態
すきっ歯で物が詰まりやすく、歯茎が少し腫れている状態でした。
治療後の状態
マウスピース矯正によりすきっ歯と噛み合わせが改善されて、他の詰まりやすさもなくなりました。
左上前歯に関しては横の歯と変わらないくらい白くなり、ご本人は大変喜んでいらっしゃいました。
治療費用(税込)
インビザライン:900,000円
補綴装置:27,500円
左上前歯のウォーキングブリーチ:33,000円
総額:960,500円
治療期間
約8ヶ月
通院頻度
根幹治療中は1週間に1回
矯正治療中は1ヶ月に1回
治療回数
約10回
アライナーの枚数
24枚
リスク・副作用
矯正の後戻り
根管治療後の疼痛

