194-0013
東京都町田市
原町田6-2-6
町田モディ6F

電話マーク

お電話

メニュー

メニューから探す

インビザライン矯正に関する症例一覧

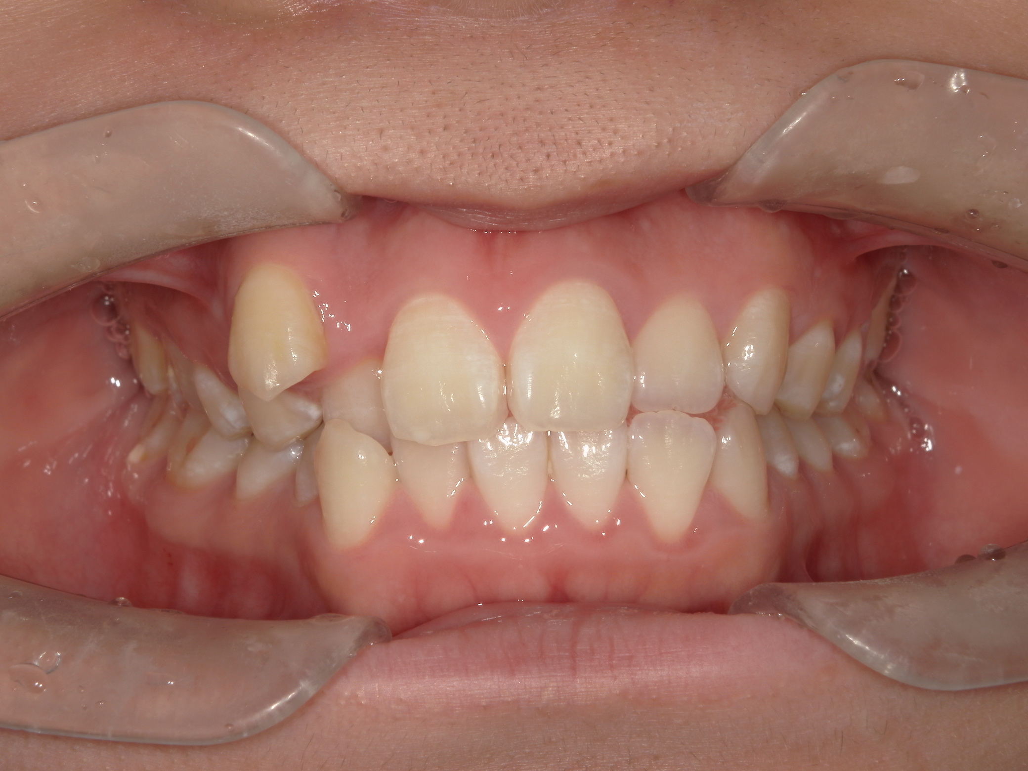
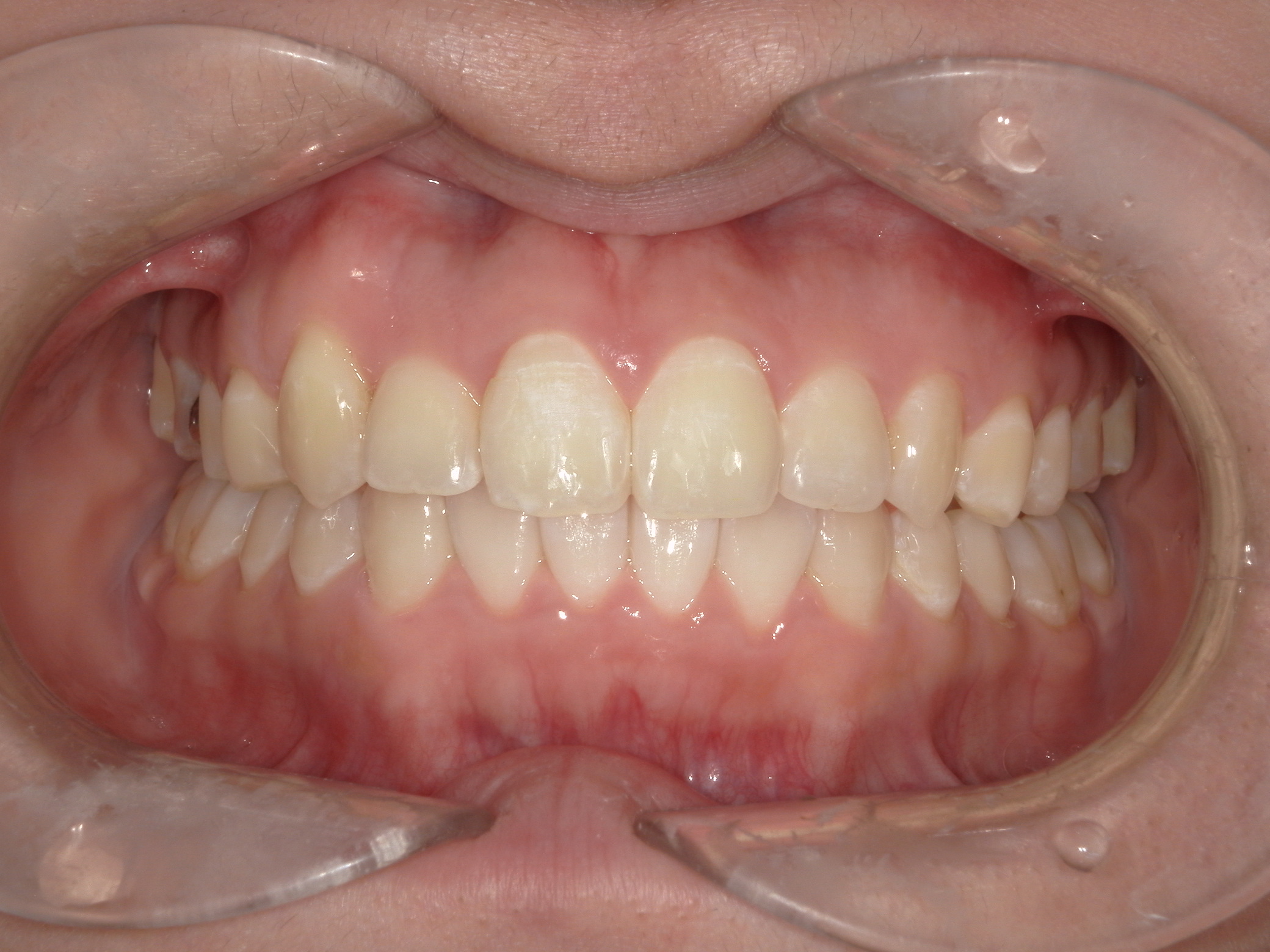
上顎3ー3の歯並びが気になる

治療期間の目安
約13ヶ月+保定期間
治療回数の目安
-
治療費総額の目安
95万円(税込)

患者様情報 20代女性 患者様のお悩み 上顎3ー3の歯並びが気になる 治療概要 歯のがたつき、噛み合わせを治すため、当院では見た目も気にならないインビザラインを患者様に提案し、治療を行いました。 インビザライン矯正につい […]

詳細を見る

見た目改善と反対咬合を治したい

治療期間の目安
約12ヶ月
治療回数の目安
-
治療費総額の目安
110万円(税込)

患者様情報 30代女性 患者様のお悩み 見た目改善と反対咬合を治したい 治療概要 歯のがたつき、反対咬合を治すため、当院では見た目も気にならないインビザラインを患者様に提案し、治療を行いました。 インビザライン矯正につい […]

詳細を見る

歯並びが気になる

治療期間の目安
約19ヶ月
治療回数の目安
-
治療費総額の目安
110万円(税込)

患者様情報 20代女性 患者様のお悩み 歯並びが気になる 治療概要 八重歯、噛み合わせを治すため、当院では見た目も気にならないインビザラインを患者様に提案し、治療を行いました。 インビザライン矯正について 治療費用・期間 […]

詳細を見る

上下前歯の叢生を治したい

治療期間の目安
1年2ヶ月
治療回数の目安
-
治療費総額の目安
93.5万円

患者様情報 20代女性 患者様のお悩み 上下前歯の叢生を治したい 治療概要 上下前歯の叢生を治すため、当院では見た目も気にならないインビザラインを患者様に提案し、治療を行いました。 インビザライン矯正について 治療費用・ […]

詳細を見る

八重歯が気になる

治療期間の目安
1年3ヶ月+保定期間
治療回数の目安
-
治療費総額の目安
97.2万円(税込)

患者様情報 20代男性 患者様のお悩み 八重歯が気になる 治療概要 歯のがたつき、噛み合わせを治すため、当院では見た目も気にならないインビザラインを患者様に提案し、治療を行いました。 インビザライン矯正について 治療費用 […]

詳細を見る

マウスピース矯正と補綴治療を組み合わせた混合治療

治療期間の目安
約11ヶ月
治療回数の目安
20回
治療費総額の目安
1,060,000円

患者様情報 40代男性 患者様のお悩み 約3年前に被せた左下奥歯の被せ物が割れてしまった 治療概要 虫歯治療、詰め物・被せ物、根管治療、インビザライン 提案内容 左下奥歯の被せ物が割れてしまった原因が噛み合わせによるもの […]

詳細を見る

八重歯の非抜歯矯正を可能にしたインビザライン症例

治療期間の目安
2年3ヶ月
治療回数の目安
25回
治療費総額の目安
1,174,250円

患者様情報 20代女性 患者様のお悩み 八重歯を治したい 治療概要 インビザライン 提案内容 歯周病の状態が良くなかったため、まず歯周基本治療で歯肉の状態をしっかり改善させることが重要であるとご説明させていただきました。 […]

詳細を見る

ウォーキングブリーチと矯正により審美的な改善を行った症例

治療期間の目安
約8ヶ月
治療回数の目安
約10回
治療費総額の目安
960,500円

患者様情報 20代男性 患者様のお悩み すきっ歯と左上前歯の色が気になる 治療概要 根管治療、インビザライン、ホワイトニング 提案内容 左上前歯は歯髄電気診で神経の反応がなかったため、根管治療をしてからウォーキングブリー […]

詳細を見る

Medical

当院は虫歯・歯周病の治療からインプラント、矯正、予防歯科、顕微鏡治療まで幅広い診療項目に対応しています。

大人の歯列矯正アイコン

大人の歯列矯正

矯正歯科(歯列矯正)アイコン

矯正歯科(歯列矯正)

美容歯科アイコン

美容歯科

審美歯科アイコン

審美歯科

インプラントアイコン

インプラント

精密入れ歯アイコン

精密入れ歯

一般歯科アイコン

一般歯科

精密歯周病治療アイコン

精密歯周病
治療

精密根管治療アイコン

精密根管
治療

小児歯科アイコン

小児歯科

予防歯科アイコン

予防歯科

スポーツマウスガードアイコン

スポーツ
マウスガード

町田エス歯科クリニック

住所

194-0013
東京都町田市
原町田6-2-6
町田モディ6F

最寄駅

町田駅より徒歩1分

駐車場

【提携駐車場について】
いちのや駐車場
ぽっぽ町田パーキング
お会計2千円以上で1時間までのサービス券をお渡しいたします。
自費治療1万円以上お支払いの方は、治療完了までの駐車場代金のサービス券をお渡しいたします。

支払い方法

現金/クレジットカード/PayPay

10:00〜13:30
14:30〜19:30
お電話でのお問い合わせ

042-812-2555

ご予約はこちら
WEB初診予約

BACK TO TOP

WEB予約アイコン

WEB予約

LINE予約アイコン

LINE予約

お電話アイコン

お電話