マウスピース矯正と補綴治療を組み合わせた混合治療
患者様情報
40代男性
患者様のお悩み
約3年前に被せた左下奥歯の被せ物が割れてしまった
治療概要
虫歯治療、詰め物・被せ物、根管治療、インビザライン
提案内容
左下奥歯の被せ物が割れてしまった原因が噛み合わせによるものだったので、矯正後に被せ物をやり変える治療を提案いたしました。
また、歯根(歯の根っこ)の先端部に透過像が見受けられたため、再根管治療も提案いたしました。
治療内容
まずは左下奥歯を仮歯に置き換え、根管治療を行いました。根幹充填を行い土台まで立てたタイミングでマイスピース矯正を開始しました。
保定装置に入る前に左下奥歯を仮歯からセラミッククラウンに変えています。
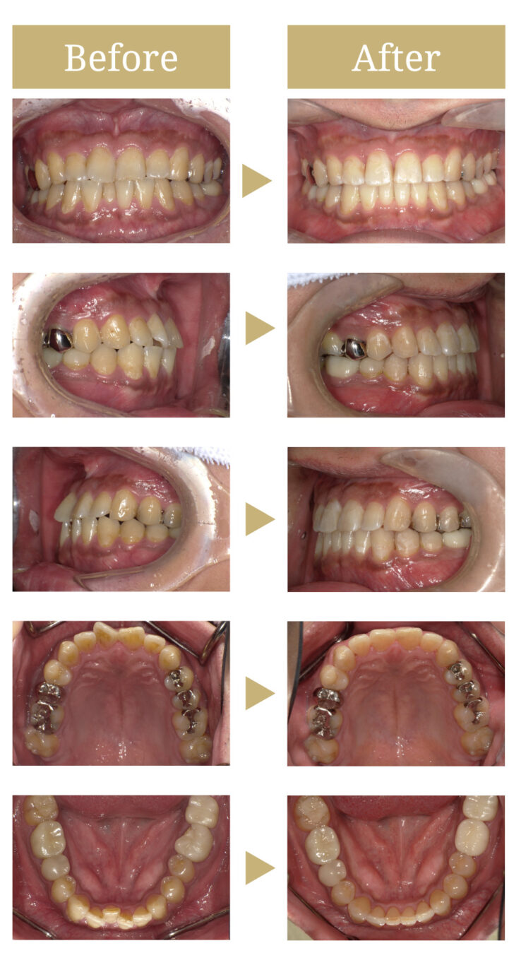
治療前の状態
左下奥歯が割れてしまった原因は噛み合わせによるものであるため、今の噛み合わせのまま被せ物をやり変えた場合はまた割れてしまうリスクがありました。
治療後の状態
噛み合わせのバランスが整ったため、やり変えた被せ物はもちろん、他の歯も長持ちするような状態になりました。
見た目も噛み合わせも良くなり、大変喜んでいらっしゃいました。
治療費用(税込)
インビザライン矯正:950,000円
左下奥歯の補綴:110,000円
総額:1,060,000円
治療期間
約11ヶ月
通院頻度
根幹治療中は1週間に1回
矯正治療中は1ヶ月に1回
治療回数
約20回
アライナーの枚数
40枚
リスク・副作用
矯正後の歯肉退縮、根管治療後の痛み
