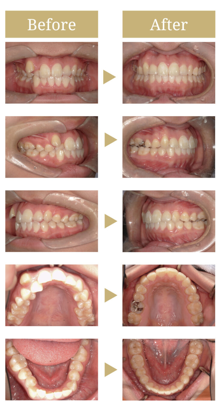
八重歯の非抜歯矯正を可能にしたインビザライン症例
患者様情報
20代女性
患者様のお悩み
八重歯を治したい
治療概要
インビザライン
提案内容
歯周病の状態が良くなかったため、まず歯周基本治療で歯肉の状態をしっかり改善させることが重要であるとご説明させていただきました。
その後、マウスピース矯正で歯列をきれいに並べて、歯磨きでしっかり歯周病対策をできるように提案致しました。
治療内容
主訴である八重歯の矯正治療を優先にし、小さな虫歯部分は後半に行いました。矯正により清掃性も向上したので今後の虫歯のリスクも大幅に減ったと考えられます。
治療前の状態
八重歯の付近や叢生部分は清掃性が悪く歯肉炎などの所見がみられました。
治療後の状態
噛み合わせのバランスも整い理想の状態で奥歯に詰め物も入れることができ、主訴である八重歯も改善され大変満足して頂けました。
治療費用(税込)
初回相談:無料
精密検査料:19,250円
インビラザイン:1,100,000円
ビベラリテーナー:55,000円
月々の調整費:無料
総額:1,174,250円
治療期間
2年3ヶ月
通院頻度
1ヶ月に1回
治療回数
インビザライン22回、虫歯治療3回
アライナーの枚数
38枚
リスク・副作用
後戻り防止用マウスピースの装着を怠ると後戻りするリスクがあります。
